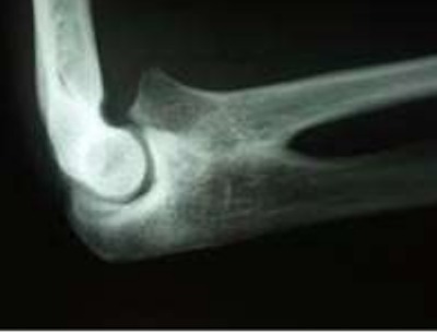
Sinostosi radio-ulnare prossimale congenita
E’ una sinostosi radio-ulnare prossimale congenita (FIG. A) con deficit di supinazione (Fig. B) che da qualche mese presentava una instabilità anteriore del gomito oltre i 90° di flessione con tre episodi di lussazione che hanno richiesto riduzione in narcosi.Intervento proposto : Accesso anteriore e previo isolamento e neurolisi ampia del nervo radiale, resezione generosa del capitello radiale ed osteotomia derotativa del radio sfruttando il predetto accesso e dell’ulna nel tentativo di portare il polso ad un atteggiamento funzionale più favorevole risolvendo nel contempo il problema di instabilità del gomito. Il pz. non ha ancora deciso di accettare l’intervento.

