Alluce valgo
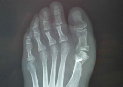
E’ frequente specie nelle donne e prevede, quando indicato, un trattamento chirurgico. E’ importante considerare univocamente anche le patologie eventualmente associate dell’avampiede e del retropiede per una corretta indicazione chirurgica. Lo studio clinico poi deve essere integrato da una radiografia dei piedi in comparativa e sotto carico gravitario.
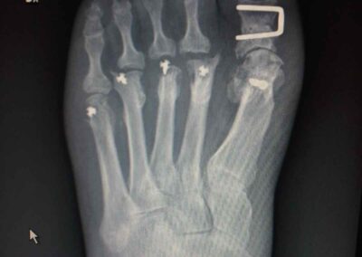
Le tecniche chirurgiche a nostra disposizione sono molteplici e vanno individualizzate sul paziente. Tra le varie preferisco la osteotomia distale del primo metatarso fissata con adeguati mezzi di sintesi preferibilmente in titanio associata al rilascio della capsula sul versante laterale. In alcuni casi difficili può essere indicato associare anche una osteotomia della prima falange dell’alluce oltre a trattamenti diretti alla correzione di eventuali griffe digitali associate.
In questi frequenti casi che di solito riguardano il secondo dito pratico una resezione della testa della prima falange associando frequentemente una capsulotomia dorsale della seconda metatarso-falangea.
Non posiziono fili metallici e quando tratto isolatamente la griffe digitale opero in anestesia locale e ambulatorialmente concedendo immediatamente il carico libero senza protezione alcuna. Il postoperatorio dell’intervento correttivo per alluce valgo prevede invece l’uso di una scarpa con suola piatta e rigida per scarico sull’avampiede da tenere in media cinque settimane durante le quali il paziente autonomamente provvederà alla mobilizzazione attiva e autoassistita di tutti i distretti articolari del piede operato (evito assolutamente di operare in contemporanea i due piedi).
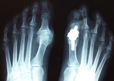
Il problema della chirurgia riparativa dell’ alluce valgo è la recidiva della deformità che addirittura è meno grave della ipercorrezione con conseguente alluce varo secondario. Occorre dunque programmare le osteotomie eventualmente associate alla testa del primo metatarso ed alla base della prima falange con un accurato planning preoperatorio in base a parametri morfologici da ricercare in una radiografia preoperatoria eseguita sotto carico gravitario.E’ fondamentale associare un riequilibrio delle parti molli capsulari e tendinee che andranno opportunemente adattate alla nuova configurazione geometrica dell’avampiede.Sarà poi importante l’ausilio di bendaggi o taping nelle prime settimane postoperatorie a mantenere la correzione ottenuta fino alla completa guarigione delle correzioni ossee e delle parti molli.Preciso che è fondamentale seguire l’evoluzione della cicatrizzazione con controlli ogni due settimane nei primi 45gg postoperatori con possibilità di correggere con adeguati taping eventuali iper piuttosto che ipo correzioni.
In merito poi alla tecnica MININVASIVA personalmente preferisco usarla nelle osteotomie dei raggi digitali escluso il primo.

